Odontologia estética e reabilitação oral com tecnologia avançada, conforto e um atendimento verdadeiramente personalizado.
+1000 pacientes satisfeitos
Atendimento humanizado
Cuidamos do seu sorriso com tratamentos modernos, confortáveis e planejados para realçar sua estética natural e restaurar a saúde bucal.
Dor na mandíbula, dentes desgastados ou tensão no rosto? Pode ser sinais de bruxismo. Essa condição pode causar: desgaste dos dentes, trincas ou fraturas, tensão na face e dor de cabeça frequente. Com o tratamento adequado é possível aliviar a dor e proteger seus dentes.
Remova placas e manchas com uma limpeza profissional completa, feita com técnicas seguras e confortáveis para proteger gengivas, prevenir cáries e manter o hálito fresco.
Correção ortodôntica eficaz com aparelhos fixos metálicos ou estéticos, planejados para alinhar os dentes e melhorar a função mastigatória com acompanhamento personalizado.
Realce a beleza do seu sorriso com tratamentos de clareamento seguros e eficazes, realizados com tecnologia moderna e acompanhamento profissional.
O aparelho fixo tem bráquetes e fios de metal, já o alinhador é transparente e discreto. Com a tecnologia Ultrasmile, nosso alinhador é ainda mais imperceptível do que o convencional.
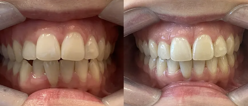
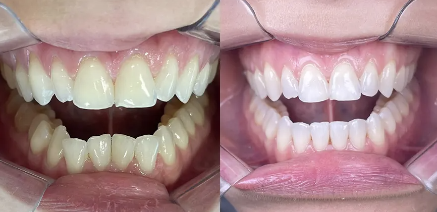
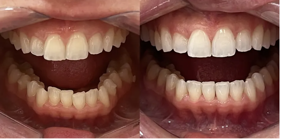
Cada paciente é único. Aqui você pode ver algumas transformações reais que unem saúde bucal, estética e qualidade de vida. Nosso objetivo é proporcionar resultados naturais, harmônicos e duradouros.



















Clínica odontológica moderna e acolhedora, localizada no Pará, onde sua saúde bucal e bem-estar são nossa prioridade. Aqui você encontra tratamentos personalizados, tecnologia de ponta e um atendimento humanizado que respeita suas necessidades individuais. Venha nos conhecer e descubra como podemos transformar seu sorriso com cuidado, conforto e excelência em cada detalhe.







Sou a Dra. Sabrina, cirurgiã-dentista com atuação em odontologia do sono e saúde integrativa.
No consultório, atendo pacientes que convivem com bruxismo, dores na mandíbula, tensão facial, dificuldade para relaxar e ansiedade, muitas vezes sem entender a origem desses sintomas.
Acredito em uma abordagem cuidadosa e individualizada, onde cada detalhe é observado para proporcionar mais conforto, equilíbrio e qualidade de vida.
Meu objetivo é ajudar você a entender o que o seu corpo está sinalizando e cuidar disso da forma certa.
CEMEP End: Av. Pres. Vargas, nº1439 - Santa Clara, Santarém - PA, 68005-393 Piso 2 - Sala 01
Dra. Sabrina Passos
Passos Odontologia
Dra. Sabrina Passos
"Olá! Como posso te ajudar hoje?